物理屋
  • 首页
  • 公式宇屋
  • 实验图屋
  • 巨匠视屋
  • 解惑频屋
  • 寰宇讯屋
首页 寰宇讯屋
  • 联合国巴勒斯坦难民机构报告称,29名工作人员在加沙遇难

    联合国巴勒斯坦难民机构报告称,29名工作人员在加沙遇难

    寰宇讯屋 •2025-10-24

    ˂p class="8730-c039-f7b9-d154 description"˃˂p class="c039-f7b9-d154-4f42 description"˃ 联合国巴勒斯坦难民机构10月22日星期日说,自从哈马斯激进分子和以色列之间爆发战争以来,该机构在加沙...

  • 阿森纳球员评价vs朗斯:欧冠决赛中,马丁·奥德加德表现平平,特罗萨德表现不佳

    阿森纳球员评价vs朗斯:欧冠决赛中,马丁·奥德加德表现平平,特罗萨德表现不佳

    寰宇讯屋 •2025-10-24

    ˂p class="9804-8730-c039-f7b9 description"˃˂p class="8730-c039-f7b9-d154 description"˃对于主教练阿尔特塔来说,在一个艰难的欧冠之夜,阿森纳2-1输给了法甲的对手朗斯。 加布里埃尔·热苏斯在第...

  • 阿森纳在点球大战中击败波尔图,进入欧冠四分之一决赛

    阿森纳在点球大战中击败波尔图,进入欧冠四分之一决赛

    寰宇讯屋 •2025-10-24

    伦敦:周二,阿森纳在点球大战中4-2击败波尔图,自2010年以来首次进入欧冠四分之一决赛,结束了在16强中连续7次被淘汰的历史。 大卫·拉亚扑出加莱诺的点球,为阿森纳锁定胜局,...

  • 英国首相向内阁通报英国和美国可能打击胡塞武装的情况:报道

    英国首相向内阁通报英国和美国可能打击胡塞武装的情况:报道

    寰宇讯屋 •2025-10-24

    据多家媒体报道,英国首相苏纳克计划向内阁通报英国和美国可能打击也门胡塞反政府武装的情况,目前胡塞反政府武装在红海继续发动袭击。 据BBC新闻报道,苏纳克预计将于周四晚上与内阁举行电话...

  • 马尔科·席尔瓦支持亚历克斯·伊沃比在以2200万英镑从埃弗顿转会后为富勒姆带来重大影响

    马尔科·席尔瓦支持亚历克斯·伊沃比在以2200万英镑从埃弗顿转会后为富勒姆带来重大影响

    寰宇讯屋 •2025-10-24

    ˂p class="bf4a-99b5-7f94-999a description"˃˂p class="99b5-7f94-999a-9578 description"˃马尔科·席尔瓦相信亚历克斯·伊沃比本赛季可以在富勒姆发挥关键作用。 尼日利亚国脚在转会截止日与他的前教练...

  • 韩华海洋表示,收购Austal的谈判仍在进行中

    韩华海洋表示,收购Austal的谈判仍在进行中

    寰宇讯屋 •2025-10-24

    作者:Kim Eun-jung 首尔,5月2日(韩联社)——韩国造船商韩华海洋周四表示,收购澳大利亚造船商Austal的谈判正在进行中,这是其进一步进军全球海军造船市场的一部分。 韩...

  • 哈马斯袭击以色列:美国派遣航母战斗群支持以色列

    哈马斯袭击以色列:美国派遣航母战斗群支持以色列

    寰宇讯屋 •2025-10-24

    ˂p class="d154-4f42-c768-f574 description"˃˂p class="4f42-c768-f574-bf4a description"˃ 美国国防部长劳埃德·奥斯汀(Lloyd Austin)周日宣布,美国海军最新、最先...

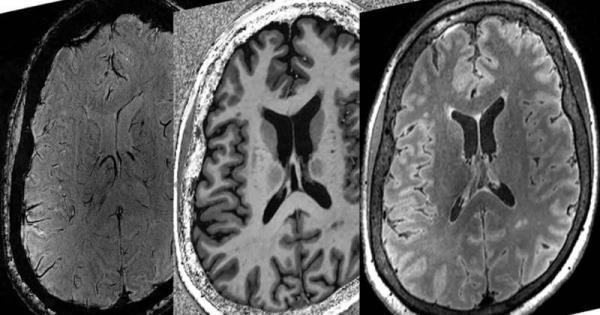
  • 研究人员使用人工智能来预测严重脑损伤后的恢复情况

    研究人员使用人工智能来预测严重脑损伤后的恢复情况

    寰宇讯屋 •2025-10-24

    ˂p class="f7b9-d154-4f42-c768 description"˃˂p class="d154-4f42-c768-f574 description"˃ 西方大学的两名研究生开发了一种预测重症监护病房(ICU)患者在严重脑损伤后存活的方法。...

  • 行人在圣罗莎被车撞死

    行人在圣罗莎被车撞死

    寰宇讯屋 •2025-10-24

    ˂p class="c039-f7b9-d154-4f42 description"˃˂p class="f7b9-d154-4f42-c768 description"˃ 周三,一名男子在穿越圣罗莎街道时被一辆汽车撞死,周四,索诺玛县治安官验尸小组确认了这名男子的身份。...

  • 结束悬念:贩卖儿童,芬太尼法案仍然可以在加州成为法律

    结束悬念:贩卖儿童,芬太尼法案仍然可以在加州成为法律

    寰宇讯屋 •2025-10-24

    ˂p class="8730-c039-f7b9-d154 description"˃˂p class="c039-f7b9-d154-4f42 description"˃ 民主党议员提出了一项由一名共和党议员提出的有争议的提案,要求加大对儿童...

  • 首页
  • 上一页
  • 171
  • 172
  • 173
  • 174
  • 175
  • 176
  • 177
  • 178
  • 179
  • 180
  • 下一页
  • 尾页

最近发表

  • 密歇根州共和党人将对卡拉莫主席的免职进行投票,因为她承诺不接受结果
  • “对不起,伙计们”:热麦克风捕捉到拉马斯瓦米在与伊隆·马斯克的X直播中撒尿
  • 年轻人不得不在气候恐惧中“过快”成长:滕伯格
  • 加拿大宣布首个重大投资税收抵免项目
  • MoECC修复,栅栏花园在卡塔尔北部
  • 回归黑色预告片:由《五十度灰》导演执导的艾米·怀恩豪斯传记片
  • 尽管医生罢工,韩国称没有“医疗灾难”_2
  • “大规模”特斯拉新增压器中心在亚利桑那州开放
  • 乔治亚州警方称,一名7岁男孩在加油站被枪杀现在爸爸被起诉了
  • 成千上万的家庭聚集在一起参加第52届Alinta能源圣诞盛会,节日气氛弥漫在珀斯的街道上

热门文章

  • FlowForce Max评论(2023个真实客户投诉)用户警告!合法和安全的前列腺健康支持糖果?官方网站(美国、英国、加拿大和澳大利亚)2025-10-19
  • 今日疫情绍兴新增病例2025-09-07
  • 杭州疫情21号新增2025-09-07
  • 在《钢铁侠4》粉丝预告片中,托尼·斯塔克回归,改写他的命运2025-10-12
  • 看看香港最新消息疫情2025-08-28
  • 合肥疫情多久没新增2025-08-28
  • 余姚市新增疫情病例2025-09-07
  • 宁波瀛洲疫情最新消息2025-09-07

© 2023 XWNews 京ICP备1111040123号-1 网站地图